癌症是一种消耗性疾病,很多都会发生体重减轻,有些人到了晚期甚至瘦到皮包骨(恶液质)。
那么,癌症患者体重增加是好现象吗?
体重增加分两种情况:肉多了或者水多了。
肉多了一般是好事,说明营养吸收增加了,蛋白质和脂肪多了。
【癌症患者体重增加,是好现象吧?】水多了一般是坏事,说明水分不能顺利代谢,水肿了。
肉多了,一般见于两种情况:
1.癌症治愈
病变解除,身体机能恢复正常。
文章插图
比如这位食道癌患者,因为吞咽困难伴有体重下降入院,手术切除肿瘤、解除梗阻,拆线后食欲恢复,体重逐步增加,好现象!
2.病情暂时性缓解。
某些癌症晚期无法切除,经过靶向治疗、或是某些姑息性手术,可以出现食量增加、体重增加的好现象,大大延长生存期。
比如某些胃癌、肠癌患者,做了胃肠吻合解除梗阻,很长一段时间内可以出现体重增加,是好事!至少可以延长寿命。
水多了,常常是功能障碍导致水肿。
比如癌症消耗、吸收不良导致低蛋白,组织水肿;癌细胞破坏肝脏、堵塞血管,引起胸水、腹水。
文章插图
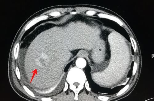
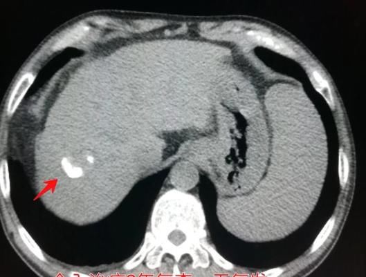
这是一位肝硬化、脾大的病人,CT发现大量腹水和少量胸水,引起体重增加,但同时发现肝右叶肝癌。
他比较幸运,治疗效果很好!做了肝肿瘤动脉栓塞术和保肝、利尿治疗,两年多了没有复发:
文章插图
- 有癌症,易房颤!韩国82万例患者研究
- 阿尔茨海默氏症:患者大脑中微量金属的发现可能提供线索
- 欧美人那么爱喝酒,为啥肝癌患者却比中国少?3个原因很现实
- 淋巴瘤患者的福音!苏州大学探寻新的治疗靶点
- 糖尿病|糖尿病患者6个部位疼痛,可能是并发症到来的信号,别不当回事!
- 小儿基底细胞痣综合征,诊断需根据患者临床表现,影像学检查结果
- 不测血压,只凭感觉服用降压药会有什么后果?有位患者偏瘫了
- 晚期癌症只能活活痛死?癌症根本不用治?肿瘤科医生讲了四个真相
- 门诊遇到「硝苯地平 + 氨氯地平」联合降压的患者,怎么办?
- 癌症会一代传一代?父母若得了5种癌,子女可能会“继承”
